Acute Cellular Rejection - Grade 3R
Grade 3R (severe, high-grade, acute cellular rejection).
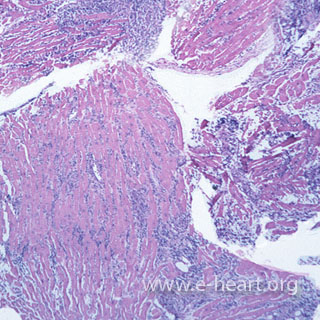
A diffuse inflammatory process, either predominantly lymphocytes and macrophages or a polymorphous infiltrate, is present, involving multiple biopsy fragments. An example of such type of infiltrate involving multiple pieces is shown here.
In most cases, the majority of biopsy fragments are involved, although the intensity of the infiltrate may vary between pieces.
(H&E X25)
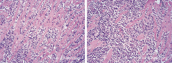
These biopsies show abundant infiltration by mononuclear inflammatory cells which clearly expand the interstitial space between the myocytes.( H&E, X100)
The myocardium is diffusely and extensively infiltrated by dense mononuclear inflammatory cells. These represent a grade 3B in the ISHLTWF1990 (H&E, X400)
The extensive inflammation can progress to the stage in which neutrophils and even vascular necrosis can be seen. 

