Cardiac Amyloidosis - VIII

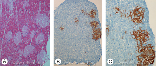
Nodular pattern of myocardial amyloid infiltration. A. Low magnification view the “amorphous” eosinophilic material forming distinct nodules within the myocardium. In contrast to the perimyocytic pattern, the amyloid deposits here, have completely obliterated and replaced the myocytes. The collapse of the myocytes allows the amyloid deposits to coalesce and form “nodules”. (H&E X50). B This endomyocardial biopsy shows distinct TTR-type amyloid nodules. (Immunohistochemistry for transthyretin. X25) . C. The is image clearly shows how the encroachment of amyloid and atrophy of myocytes produces the nodular appearance. (Immunohistochemistry for transthyretin. X 100)
Other examples of treansthyretin infiltration include deposits in the interstitial structures such as adipose tissue or venules.

